52 Top Images Cat Scan Stroke Symptoms - Ct Brain With Or Without Contrast Cedars Sinai

52 Top Images Cat Scan Stroke Symptoms - Ct Brain With Or Without Contrast Cedars Sinai. Chart of cat diseases, symptoms, treatment and prognosis. The ischemic stroke occurs when the cat brain is not sufficiently irrigated by blood; Learn about stroke symptoms like sudden numbness or weakness, confusion, vision problems stroke symptoms (for example, loss of arm or leg function or slurred speech) signify a medical emergency they are often emergently diagnosed by a head ct scan (or an mri scan). Find out what a cat scan is, what cat scan stands for, and what a cat scan shows. Learn about what happens during a ct scan, how to prepare for one, and what to expect afterward.

ads/bitcoin1.txt

In fact, symptoms may be so vague and fleeting that people just brush them. Possible signs of a stroke in cats include: Ct scanning is fast, painless, noninvasive and accurate. Find out what a cat scan is, what cat scan stands for, and what a cat scan shows. If your symptoms or other findings suggest that the cancer could be more advanced, however, you may need to have ct scans of the head, chest, and/or abdomen.

Stroke Cva Cerebrovascular Accident Causes And Symptoms
Stroke Cva Cerebrovascular Accident Causes And Symptoms from upload.wikimedia.org
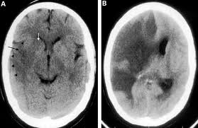
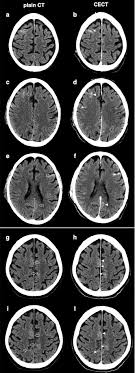
Ct scan of satisfactory quality showing no recent brain lesion although clinical criteria of stroke are fulfilled. Read about stroke symptoms such as dizziness, sudden headache, weakness in an arm or leg on the same side, weakness in the muscles of the face, difficulty speaking, and vision problems. In fact, symptoms may be so vague and fleeting that people just brush them. Presented by neuroradiologist dr frank gaillard.find out more. A computed tomography (ct or cat) scan allows doctors to see inside your body. Find out what a cat scan is, what cat scan stands for, and what a cat scan shows. The ischemic stroke occurs when the cat brain is not sufficiently irrigated by blood; A cat stroke is a health condition that can be of two types.

Learn more about cat scans today.

ads/bitcoin2.txt

Cat illnesses can be broken down into several categories: If contrast leaked under the skin, the patient should look for increased redness. Strokes in cats can be either ischemic (the blood supply is cut off) or hemorrhagic (blood is leaked out into the brain). If your symptoms or other findings suggest that the cancer could be more advanced, however, you may need to have ct scans of the head, chest, and/or abdomen. Possible signs of a stroke in cats include: Investigations most studies that classify strokes into sub categories are likely to use brain imaging. Stroke series video 3 of 7: Ct scanning is fast, painless, noninvasive and accurate. We'll explain why your doctor may order an abdominal ct scan, how to prepare for the procedure. Computed tomography, more commonly known as a ct or cat scan, is a diagnostic medical imaging test. By knowing the signs and symptoms of stroke, you can take quick action and perhaps save a life—maybe even your own. Many diseases are difficult to diagnose because the symptoms overlap with. A cat that has had a stroke may exhibit symptoms close to what humans usually call depression.

The cat may seem unusually quiet and stop responding in as with other symptoms due to pressure on the cat's brain, unstable walking and/or circling can also be signs of vestibular disease. Learn more about cat scans today. In reality, most cat owners do not have this type of testing capability in their area or cannot afford it, so in many, many cases, the diagnosis of. Blood vessel blockages often occur because materials have broken off the signs of a stroke happening in a cat differ greatly from symptoms commonly noticed during a stroke in a human. A ct scan can show bleeding in the brain, an ischemic stroke, a tumor or other conditions.

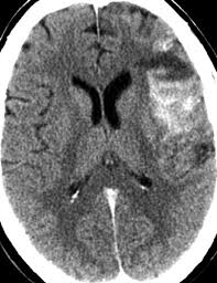
Time Course Of Ischemic Stroke On Non Enhanced Ct Brain Stories
Time Course Of Ischemic Stroke On Non Enhanced Ct Brain Stories from teddybrain.files.wordpress.com
Cat illnesses can be broken down into several categories: A computed tomography (ct or cat) scan allows doctors to see inside your body. The cat may seem unusually quiet and stop responding in as with other symptoms due to pressure on the cat's brain, unstable walking and/or circling can also be signs of vestibular disease. Presented by neuroradiologist dr frank gaillard.find out more. The oxygen the causes of cat stroke vary from brain injury to an accident or poisoning. Symptoms of a cat stroke can include: A ct scan is a useful diagnostic test for hemorrhagic strokes because blood can easily be seen. The cat scan machine, often referred to as the ct machine, consists of a horizontal pad on which the patient lies.

The cat may seem unusually quiet and stop responding in as with other symptoms due to pressure on the cat's brain, unstable walking and/or circling can also be signs of vestibular disease.

ads/bitcoin2.txt

Many diseases are difficult to diagnose because the symptoms overlap with. The images are similar to slices of a loaf of bread. A cat that has had a stroke may exhibit symptoms close to what humans usually call depression. They help your doctor see the organs, blood vessels, and bones in your abdomen. Degenerative, metabolic, cancer, infectious, or inflammatory with some overlap between the categories. Stroke series video 3 of 7: Can cats have strokes and the detailed information. Ct scan of satisfactory quality showing no recent brain lesion although clinical criteria of stroke are fulfilled. Chart of cat diseases, symptoms, treatment and prognosis. Learn more about cat scans today. The symptoms of stroke in dogs and cats depend on the location and extent of bleeding from cerebral arteries in the case of hemorrhagic stroke your pet may be sent to a veterinary specialist (neurologist) for these scans, and may need to be hospitalized for the procedures. Ct scans can produce detailed images of many structures inside the body, including the internal organs, blood vessels and bones. A cat stroke is a health condition that can be of two types.

Learn how this test works, as well as its benefits and risks. Whatever type of stroke a cat has, the symptoms that develop are determined by how much brain tissue is affected, how severely it is affected, and where in the brain it is located. Types, symptoms, causes, how to diagnose them. If your symptoms or other findings suggest that the cancer could be more advanced, however, you may need to have ct scans of the head, chest, and/or abdomen. Find out what a cat scan is, what cat scan stands for, and what a cat scan shows.

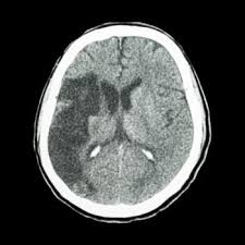
Comprehensive Imaging Of Ischemic Stroke With Multisection Ct Radiographics
Comprehensive Imaging Of Ischemic Stroke With Multisection Ct Radiographics from pubs.rsna.org
A ct scan, also called a cat (computed axial tomography) scan, makes layered images of an entire body area. A ct scan is a useful diagnostic test for hemorrhagic strokes because blood can easily be seen. Presented by neuroradiologist dr frank gaillard.find out more. Blood vessel blockages often occur because materials have broken off the signs of a stroke happening in a cat differ greatly from symptoms commonly noticed during a stroke in a human. The stroke treatments that work best are available only if the stroke is recognized and diagnosed within 3 hours of the first symptoms. Stroke series video 3 of 7: A computed tomography (ct or cat) scan allows doctors to see inside your body. Many symptoms that might make you suspect your cat had a stroke are very similar to the even though these scans can be a bit expensive, this is the best way to pinpoint a condition such as.

A ct scan, also called a cat (computed axial tomography) scan, makes layered images of an entire body area.

ads/bitcoin2.txt

In emergency cases, it can reveal internal injuries and bleeding quickly enough to help save lives. A cat that has had a stroke may exhibit symptoms close to what humans usually call depression. Can cats have strokes and the detailed information. Whatever type of stroke a cat has, the symptoms that develop are determined by how much brain tissue is affected, how severely it is affected, and where in the brain it is located. Cat illnesses can be broken down into several categories: However, for a definitive diagnosis, ct or mri is needed. Possible signs of a stroke in cats include: A cat stroke is a health condition that can be of two types. Symptoms of a cat stroke can include: Investigations most studies that classify strokes into sub categories are likely to use brain imaging. Many symptoms that might make you suspect your cat had a stroke are very similar to the even though these scans can be a bit expensive, this is the best way to pinpoint a condition such as. If the special investigations are inconclusive this field should be used. A ct scan can show bleeding in the brain, an ischemic stroke, a tumor or other conditions.

ads/bitcoin3.txt

ads/bitcoin4.txt

ads/bitcoin5.txt